Artigo: Reflections on bite raisers: a small detail with a big impact in Orthodontics - Clinical 2025 v24n06 - DentalGO


Reflections on bite raisers: a small detail with a big impact in Orthodontics

Editorial

In contemporary orthodontics, bite raisers have ceased to be merely an occasional auxiliary resource, assuming a strategic role in the management of our clinical cases. Previously considered prohibitive by many, nowadays more and more orthodontists are seen using this resource as a clinical routine. I, personally, was absolutely against temporary bite raisers in my fixed orthodontics cases! Throughout my journey, I’ve learned that we need to have common sense, and that there’s no room for right or wrong... There are alternatives that are often conflicting, dichotomous... that bring...

Autores: Marcio Almeida, 

Reflexões sobre o levante de mordida: um pequeno detalhe com grande impacto na Ortodontia
Reflexões sobre o levante de mordida: um pequeno detalhe com grande impacto na Ortodontia

Na Ortodontia contemporânea, o levante de mordida deixou de ser apenas um recurso auxiliar ocasional, para assumir um papel estratégico na condução dos nossos casos clínicos. Antes considerado proibitivo por muitos, hodiernamente observam-se cada vez mais ortodontistas utilizando esse recurso como rotina clínica. Eu, particularmente, era absolutamente contra o levante transitório da mordida nos meus casos de Ortodontia fixa! Ao longo da minha jornada, aprendi que temos que ter bom...

Entrevista com Paula Oltramari
Entrevista com Paula Oltramari

É com muita alegria que apresento a entrevista com a Profa. Paula Oltramari, uma das maiores pesquisadoras da área da Ortodontia no Brasil. Acompanho sua carreira de perto desde os tempos em que a Paulinha, como eu carinhosamente a chamo, era aluna de graduação na FOB em Bauru. Desde aquela época, ela já mostrava interesse pela área da Ortodontia, se dedicando às pesquisas de iniciação científica, apresentando trabalhos em congressos e publicando artigos científicos. Sua...

Tratamento híbrido da má oclusão de Classe II esquelética com Ortopedia Funcional e Invisalign em criança com 11 anos de idade
Tratamento híbrido da má oclusão de Classe II esquelética com Ortopedia Funcional e Invisalign em criança com 11 anos de idade

OBJETIVO: Este artigo descreve o tratamento de uma criança, com 11 anos de idade, com má oclusão de Classe II esquelética por deficiência mandibular, conduzido de forma híbrida. Inicialmente, ela foi tratada com Ortopedia Funcional dos Maxilares, utilizando um ativador mandibular e, em seguida, o tratamento foi continuado com alinhadores Invisalign. CONCLUSÃO: O tempo total de tratamento foi de dois anos e dois meses, e os resultados faciais e dentários demonstram a eficácia do...

Moldagem de transferência de bandas para confecção de aparelhos soldados em modelos de trabalho
Moldagem de transferência de bandas para confecção de aparelhos soldados em modelos de trabalho

INTRODUÇÃO: A moldagem de transferência de bandas constitui uma etapa crítica na confecção de aparelhos ortodônticos soldados em modelos de trabalho. A adaptação inadequada das bandas ou falhas no procedimento de moldagem podem comprometer o assentamento do aparelho, aumentar o risco de deformações e favorecer a ruptura das bandas durante a ativação. OBJETIVO: O objetivo deste estudo é apresentar um protocolo clínico simplificado e previsível para a moldagem de transferência de...

Correção da Classe II subdivisão com alinhadores ortodônticos e ancoragem esquelética: relato de caso
Correção da Classe II subdivisão com alinhadores ortodônticos e ancoragem esquelética: relato de caso

INTRODUÇÃO: Para tratamentos da má oclusão de Classe II sem extrações dentárias, a distalização de molares é uma das opções para correções de 2 a 3 mm. OBJETIVO: Apresentar, por meio de um relato clínico, um tratamento de Classe II subdivisão esquerda, com alinhadores ortodônticos estéticos associados a mini-implantes ortodônticos e elásticos intermaxilares, obtendo uma distalização de molares de 4.37 mm. RESULTADOS: Os resultados oclusais alcançados foram...

Desafios no tratamento de pacientes com discrepâncias verticais: abordagens clínicas com mini-implantes
Desafios no tratamento de pacientes com discrepâncias verticais: abordagens clínicas com mini-implantes

INTRODUÇÃO: Os pacientes adultos têm, cada vez mais, buscado tratamentos ortodônticos sem recorrer à cirurgia ortognática. Em alguns casos, sejam eles de mordida aberta anterior ou de mordida profunda, é possível usar mini-implantes para conferir ao paciente uma oclusão mais estável e uma melhora significativa na sua condição clínica. OBJETIVO: Serão apresentados dois casos clínicos com problemas verticais, beneficiados com a utilização de mini-implantes, evitando abordagens...

Tratamento ortodôntico-reabilitador de Classe II e mordida aberta anterior em paciente com implantes na região dos primeiros molares inferiores: relato de caso tratado com alinhadores
Tratamento ortodôntico-reabilitador de Classe II e mordida aberta anterior em paciente com implantes na região dos primeiros molares inferiores: relato de caso tratado com alinhadores

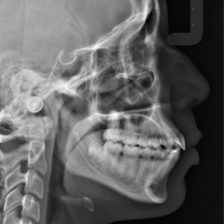
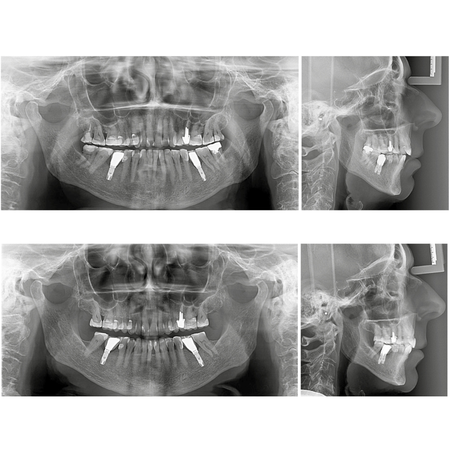
INTRODUÇÃO: Os alinhadores ortodônticos têm sido uma alternativa aos braquetes, especialmente em pacientes adultos, que buscam conforto e estética. OBJETIVO: O presente caso clínico apresenta uma paciente de 72 anos de idade que buscou tratamento ortodôntico com queixas estético-funcionais decorrentes de mordida aberta anterior e má oclusão de Classe II, ausência do dente #31, além de sintomas dolorosos nas regiões condilares. O tratamento incluiu uma fase ortodôntica usando...

Disjunção palatina anteroposterior e a pré-maxila
Disjunção palatina anteroposterior e a pré-maxila

OBJETIVO: Fundamentar biologicamente a proposta de disjunção palatina anteroposterior em casos devidamente selecionados. METODOLOGIA: Utilizou-se a amostra de dissertação de mestrado de Trevizan (2018) e suas inferências, para fundamentar a biologia desse procedimento. RESULTADOS E DISCUSSÃO: Observaram- se sinais da sutura pré-maxilar–maxilar em todos os espécimes até os 12 anos de idade; e em 6,16% dos crânios adultos, o que fundamentou a proposta da disjunção anteroposterior...

Reflexiones sobre los topes oclusales: un pequeño detalle con un gran impacto en la Ortodoncia
Reflexiones sobre los topes oclusales: un pequeño detalle con un gran impacto en la Ortodoncia

En la Ortodoncia contemporánea, los topes oclusales han dejado de ser solo un recurso auxiliar ocasional, para asumir un papel estratégico en la conducción de nuestros casos clínicos. Antes considerado prohibitivo por muchos, hoy en día se observan cada vez más ortodoncistas utilizando este recurso como rutina clínica. Particularmente, era absolutamente contrario al uso de topes oclusales transitorios en mis casos de Ortodoncia fija. A lo largo de mi trayectoria, aprendí que debemos...

Entrevista con Paula Oltramari
Entrevista con Paula Oltramari

Con gran alegría presento esta entrevista con la profesora Paula Oltramari, una de las investigadoras más destacadas en el campo de la Ortodoncia en Brasil. He seguido de cerca su trayectoria desde que Paulinha, como la llamo cariñosamente, estudiaba en la FOB de Bauru. Ya entonces, mostraba interés por la Ortodoncia, dedicándose a la investigación universitaria, presentando trabajos en congresos y publicando artículos científicos. Su competencia y dedicación siempre han guiado sus...

Tratamiento híbrido de maloclusión Clase II esquelética con ortopedia funcional e Invisalign en un niño de 11 años
Tratamiento híbrido de maloclusión Clase II esquelética con ortopedia funcional e Invisalign en un niño de 11 años

OBJETIVO: Este artículo describe el tratamiento híbrido de una niña de 11 años con maloclusión esquelética de Clase II debido a deficiencia mandibular. Inicialmente, se trató con Ortopedia Funcional de los Maxilares mediante un activador mandibular, y posteriormente se continuó con alineadores Invisalign. CONCLUSIÓN: La duración total del tratamiento fue de dos años y dos meses, y los resultados faciales y dentales demuestran la eficacia del tratamiento híbrido adoptado.

Impresión de transferencia de bandas para la fabricación de dispositivos soldados sobre modelos de trabajo
Impresión de transferencia de bandas para la fabricación de dispositivos soldados sobre modelos de trabajo

INTRODUCCIÓN: Las impresiones de transferencia de bandas son un paso crítico en la fabricación de aparatos de Ortodoncia soldados en modelos de trabajo. Una adaptación inadecuada de la banda o fallas en el procedimiento de impresión pueden comprometer el asentamiento del aparato, aumentar el riesgo de deformación y favorecer la ruptura de la banda durante la activación. OBJETIVO: El objetivo de este estudio es presentar un protocolo clínico simplificado y predecible para impresiones...

Corrección de la maloclusión de Clase II subdivisión con alineadores ortodóncicos y anclaje esquelético: reporte de caso
Corrección de la maloclusión de Clase II subdivisión con alineadores ortodóncicos y anclaje esquelético: reporte de caso

INTRODUCCIÓN: Para el tratamiento de la maloclusión de Clase II sin extracciones dentales, la distalización de molares es una opción para correcciones de 2 a 3 mm. OBJETIVO: Presentar, a través de un reporte clínico, un tratamiento de maloclusión de Clase II subdivisión izquierda utilizando alineadores ortodóncicos estéticos asociados a microimplantes ortodóncicos y elásticos intermaxilares, logrando una distalización de 4.37 mm de molares. RESULTADOS: Los resultados oclusales...

Desafíos en el tratamiento de pacientes con discrepancias verticales: abordajes clínicos con microimplantes
Desafíos en el tratamiento de pacientes con discrepancias verticales: abordajes clínicos con microimplantes

INTRODUCCIÓN: Cada vez más pacientes adultos buscan tratamiento de Ortodoncia sin recurrir a la cirugía ortognática. En algunos casos, ya sea mordida abierta anterior o mordida profunda, es posible utilizar microimplantes para proporcionar al paciente una oclusión más estable y una mejora significativa de su estado clínico. OBJETIVO: Se presentarán dos casos clínicos de problemas verticales, ambos beneficiados con el uso de microimplantes, evitando la cirugía ortognática....

Tratamiento ortodóncico-rehabilitador de maloclusión de Clase II y mordida abierta anterior en un paciente con implantes en región de primeros molares inferiores: reporte de un caso tratado con alineadores
Tratamiento ortodóncico-rehabilitador de maloclusión de Clase II y mordida abierta anterior en un paciente con implantes en región de primeros molares inferiores: reporte de un caso tratado con alineadores

INTRODUCCIÓN: Los alineadores ortodóncicos han sido una alternativa a los brackets, especialmente para pacientes adultos que buscan comodidad y estética. OBJETIVO: Este caso clínico presenta a una paciente de 72 años que buscó tratamiento de Ortodoncia con quejas estéticas y funcionales derivadas de mordida abierta anterior y maloclusión de Clase II, ausencia del diente # 31 y síntomas dolorosos en la región condilar. El tratamiento incluyó una fase de Ortodoncia con alineadores...

Disyunción palatina anteroposterior y la premaxila
Disyunción palatina anteroposterior y la premaxila

OBJETIVO: Fundamentar biológicamente la disyunción palatina anteroposterior propuesta en casos debidamente seleccionados. METODOLOGÍA: La muestra de la tesis de maestría de Trevizan (2018) y sus inferencias se utilizaron para fundamentar la biología de este procedimiento. RESULTADOS Y DISCUSIÓN: Se observaron signos de la sutura premaxilar-maxilar en todos los especímenes hasta los 12 años de edad; y en el 6,16% de los cráneos adultos, lo que respaldó la disyunción anteroposterior...

Reflections on bite raisers: a small detail with a big impact in Orthodontics
Reflections on bite raisers: a small detail with a big impact in Orthodontics

In contemporary orthodontics, bite raisers have ceased to be merely an occasional auxiliary resource, assuming a strategic role in the management of our clinical cases. Previously considered prohibitive by many, nowadays more and more orthodontists are seen using this resource as a clinical routine. I, personally, was absolutely against temporary bite raisers in my fixed orthodontics cases! Throughout my journey, I’ve learned that we need to have common sense, and that there’s no room...

Interview with Paula Oltramari
Interview with Paula Oltramari

It is with great joy that I present this interview with Professor Paula Oltramari, one of the leading researchers in the field of Orthodontics in Brazil. I have followed her career closely since the time when “Paulinha”, as I affectionately call her, was an undergraduate student at the Bauru School of Dentistry. Even back then, she showed an interest in Orthodontics, dedicating herself to undergraduate research, presenting papers at conferences, and publishing scientific articles. Her...

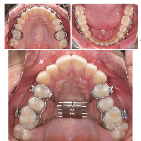
Hybrid treatment of skeletal Class II malocclusion with functional orthopaedics and Invisalign in an 11-year-old child
Hybrid treatment of skeletal Class II malocclusion with functional orthopaedics and Invisalign in an 11-year-old child

OBJECTIVE: This article describes the treatment of an 11-year-old child with skeletal Class II malocclusion due to mandibular deficiency, conducted in a hybrid approach. Initially she was treated with functional orthopedics using a mandibular activator, and then treatment was continued with Invisalign aligners. CONCLUSION: Total treatment time was two years and two months, and facial and dental results demonstrate the efficacy of the hybrid treatment adopted.

Impression for orthodontic band transfer for manufacturing soldered appliances on working models
Impression for orthodontic band transfer for manufacturing soldered appliances on working models

INTRODUCTION: The impression for orthodontic band transfer is a critical step in the fabrication of orthodontic appliances soldered on working models. Inadequate band adaptation or errors during the impression procedure may compromise appliance seating, increase the risk of deformation, and favor band fracture during activation. OBJECTIVE: The aim of this study was to present a simplified and predictable clinical protocol for band transfer impression, based on the use of soldered...

Class II subdivision correction with clear aligners and skeletal anchorage: a case report
Class II subdivision correction with clear aligners and skeletal anchorage: a case report

INTRODUCTION: For treating Class II malocclusion without dental extractions, molar distalization is one of the preferred options for corrections of 2 to 3 mm. OBJECTIVE: To present, through a clinical case report, the treatment of a Class II left subdivision using clear aligners associated with orthodontic miniscrews and intermaxillary elastics, achieving a molar distalization of 4.37 mm. Results: Satisfactory occlusal outcomes were achieved, including correction of the deviated midline,...

Challenges of treating patients with vertical discrepancies: clinical approaches using mini-implants
Challenges of treating patients with vertical discrepancies: clinical approaches using mini-implants

INTRODUCTION: Adult patients are increasingly seeking orthodontic treatment without resorting to orthognathic surgery. In some cases, whether anterior open bite or deep bite, mini-implants can be used to provide the patient with a more stable occlusion and a significant improvement in their clinical condition. OBJECTIVE: Two clinical cases with vertical problems will be presented, which benefited from the use of mini-implants, avoiding orthognathic surgery approaches. METHODS: Different...

Orthodontic-rehabilitative treatment of Class II malocclusion and anterior open bite in a patient with implants in the lower first molar region: case report treated with aligners
Orthodontic-rehabilitative treatment of Class II malocclusion and anterior open bite in a patient with implants in the lower first molar region: case report treated with aligners

INTRODUCTION: Orthodontic aligners have emerged as an alternative to fixed appliances, particularly for adult patients seeking greater comfort and improved esthetics. OBJECTIVE: This clinical case report describes a 72-yearold female patient who sought orthodontic treatment due to esthetic and functional complaints related to an anterior open bite and a Class II malocclusion, absence of tooth #31, and painful symptoms in the condylar regions. Treatment included an orthodontic phase using...

Anteroposterior palatal disjunction and the premaxilla
Anteroposterior palatal disjunction and the premaxilla

OBJECTIVE: To biologically substantiate the proposal of anteroposterior palatal disjunction in properly selected cases. METHODOLOGY: The sample from Trevizan’s (2018) master’s dissertation and its inferences were used to support the biological basis of this procedure. RESULTS AND DISCUSSION: Signs of the premaxilla– maxilla suture were observed in all specimens up to 12 years of age, and in 6.16% of the adult skulls analyzed, which supported the proposal of anteroposterior disjunction...