Journal DPJO 2025 v30n5
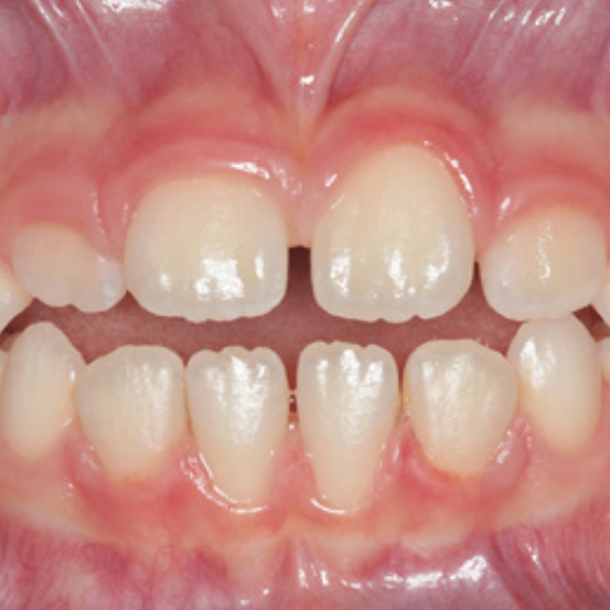
A expansão rápida da maxila pode realmente melhorar a apneia do sono em crianças pequenas? Neste episódio, discutimos um estudo que analisou essa intervenção em pacientes de 5 a 8 anos com AOS. Apesar dos resultados estatisticamente limitados...
Autores: Sarvenaz Zaree BAVANI, Enoch T. NG, Manuel O Lagravère VICH
Venha ser assinante DentalGO
Por Apenas
Venha ser assinante DentalGO
Por Apenas
Renove agora e volte a ter acesso a mais de 25 anos de pura ciência
Por Apenas
Este é um contrato entre você e a Dental Press Ensino e Pesquisa LTDA. Pedimos encarecidamente para que leia com atenção os Termos de Uso dos e-books comercializados pela Dental Press, através da plataforma de conteúdos Dental GO. Ao comprar o livro digital Dental Press você concorda e se submete aos termos deste contrato. Caso não aceite o teor deste documento, não compre, assine ou contrate os produtos ou serviços inerentes à oferta em questão. Para fins denominativos restritos ao produto:
● “Provedor de Conteúdo”: significa a parte que oferece o conteúdo em E-book, ora doravante Dental Press;
● “Dental GO”: é ferramenta pela qual os e-books Dental Press podem ser comprados, acessados e lidos;
● “E-book”: significa o conteúdo digital obtido através do Dental GO, neste caso os livros digitais fornecidos pelo provedor de conteúdo.
● “Dispositivo Compatível”: significa um celular, computador ou outro dispositivo eletrônico compatível através do qual você está autorizado a utilizar o Dental GO, a partir de criação de login e senha.
1. E-book
Uso do E-book. O uso do e-book Dental Press, dar-se-á mediante a compra do produto através do Dental GO, ambiente exclusivo onde a consulta pelo conteúdo poderá ser feita, após cadastro prévio na ferramenta. Todas as obras disponíveis na plataforma poderão ser adquiridas e lidas, única e exclusivamente, pela plataforma. Todos os conteúdos de livros digitais são de direito de comercialização exclusivo do provedor de conteúdo e estão regidos pelas leis de Direitos Autorais, sendo veementemente proibida a reprodução e comercialização do conteúdo, sob as penalidades previstas na lei. O Provedor de Conteúdo poderá incluir termos adicionais para utilização de seu conteúdo. Esses termos adicionais também se aplicam, mas em caso de conflito entre este contrato e os termos adicionais, prevalecerá o contrato.
Restrições. Exceto se especificamente indicado de forma diferente, você não poderá vender, alugar, arrendar, distribuir, sublicenciar ou transferir quaisquer direitos dos e-books ou qualquer parte dele a terceiros, tampouco poderá remover ou modificar quaisquer avisos ou rótulos de propriedade no conteúdo. Além disso, você não poderá tentar driblar, modificar, anular, ou de outra forma contornar qualquer sistema digital de gestão de direitos ou outra proteção de conteúdo, ou recursos usados como parte deste produto ou serviço. A leitura dos e-books por parte do provedor do conteúdo poderão ser consultados através do Dental GO, não sendo possível o download dos conteúdos, tampouco reproduções que sejam feitas fora da plataforma em questão, por isso atente-se aos dispositivos compatíveis antes da compra. O acesso à obra é vitalício.
Risco de Perda. O risco de perda de conteúdo passa para você quando você a partir do momento em que o usuário está munido de senhas e logins e faz o acesso ao Conteúdo do e-book.
2. Uso do E-book
O uso do e-book poderá ser feito exclusivamente pelo Dental GO, em dispositivo compatível com a ferramenta, podendo o usuário acessar quando quiser, de maneira vitalícia, o conteúdo a partir de smartphones, computadores (desktop ou notebooks) e tablets, que tenham acesso à internet, para que haja possibilidade de acesso à supracitada ferramenta. É proibido o download das obras e, por conseguinte, a reprodução, distribuição ou entrega desses conteúdos, de maneira gratuita ou com fins financeiros - hipóteses onde o usuário sofrerá as consequência previstas em contrato e no amparo da lei. A Dental Press pode investigar qualquer suspeita de violação ou outro uso indevido de qualquer Serviço e pode revisar e remover qualquer conteúdo e metadados associados.
Termos de Software Adicionais.Para termos adicionais aplicáveis ao Dental GO ou E-Books, consulte os Termos Adicionais do Dental GO, nas Condições de Uso do dentalgo.com.br (https://www.dentalgo.com.br/condicoesdeuso), e quaisquer termos fornecido com o E-book (por exemplo, nos Avisos Legais ou em uma seção semelhante).
3. Geral
Informações fornecidas à Dental Press. O Dental GO fornecerá à Dental Press informações sobre seu uso dos e-books, possivelmente incluindo informações sobre sua interação com o Conteúdo, outro conteúdo e o Serviço (como sua última página lida, conteúdo que você usa; seus dados de visualização e consultas de pesquisa; e memória disponível, tempo de operação, arquivos de log e potência do sinal). As informações fornecidas à Dental Press poderão ser armazenadas em servidores fora do país no qual você reside. Qualquer informação que recebermos será tratada em conformidade com a Notificação de Privacidade e gerida através da LGPG (Lei Geral de Proteção de Dados).
Informação Fornecida a Terceiros. Você é o único responsável por toda informação que você fornecer a outras pessoas durante a utilização do Serviço. O uso de informações transmitidas por você a terceiros estará sujeito a eventual notificação de privacidade ou demais termos que eles fornecem a você.
Rescisão. O descumprimento de qualquer dos termos deste Contrato implicará na rescisão do Contrato e na perda de seus direitos. Na hipótese de rescisão, você deverá interromper o uso do Serviço e a Dental Press poderá revogar imediatamente o seu acesso ao Serviço sem reembolso de quaisquer valores, sobretudo na hipótese de reprodução indevida dos conteúdos. O fato de a Dental Press não exigir o cumprimento estrito ou executar judicialmente este Contrato não configura renúncia a quaisquer de seus direitos.
Mudanças nos serviços; Alterações. Poderemos alterar, suspender ou interromper os Serviços, no todo ou em parte, incluindo adicionando ou removendo Conteúdo de Assinatura de um Serviço a qualquer momento, sem notificação prévia. Poderemos alterar qualquer dos termos do presente Contrato a nosso critério, publicando os termos modificados no site no Dental GO. A continuidade do uso de qualquer parte do Serviço após a entrada em vigor do Contrato modificado configura aceitação dos termos.
Lei aplicável e resolução de conflitos: Estas Condições de Uso de E-books serão regidas e interpretadas de acordo com as leis da República Federativa do Brasil. Quaisquer ações judiciais que digam respeito ou sejam pertinentes a estas Condições de Uso ou ao seu objeto serão instauradas somente na Cidade de Maringá-PR (Foro de Maringá).
Informação de Contato. Para obter ajuda com o seu e-book, Dental GO, ou qualquer problema relacionado ou inerente ao provedor de conteúdo, ou para solucionar outras questões, por favor, entre em contato com o Serviço do Cliente em https://www.dentalpress.com.br (ou por e-mail: ti@dentalpress.com.br). Para comunicações relativas a este Contrato, por favor, escreva para a Dental Press, A/C: Departamento Jurídico, Avenida Dr. Luiz Teixeira Mendes, 2.712 - Zona 5 - Maringá (PR) - CEP 87015-001.